drvinayasdentalvelachery@gmail.com
+91 94450 17719
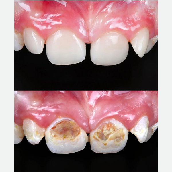
Pediatric treatment starts right from eruption of the teeth. Proper cleaning balanced diet good intake of water good oral hygiene is the important tips to take care of kids teeth.
Common problems include decay of teeth, broken teeth, nursing bottle caries.
Certain problems like thumb sucking tongue thrusting, lip sucking all need intention to prevent further alignment problems.
 
                    Our clinic will provide patients the comfort and friendly environment to undergo treatment. We provide good treatment with high standards of hygiene and sterilization protocol.
15/1, Ramagiri Nagar, Velachery Taramani Link Road, Chennai 600042.
drvinayasdentalvelachery@gmail.com
+91 94450 17719
© drvinayasdentalcare. All Rights Reserved.